Marzysz o prostych zębach, ale nie chcesz nosić klasycznego, metalowego aparatu ortodontycznego? Leczenie Invisalign® to dyskretne, przezroczyste nakładki, które skutecznie korygują zgryz bez drutów i klamerek. Dzięki nowoczesnej technologii leczenie ortodontyczne staje się bardziej komfortowe, estetyczne i przewidywalne niż kiedykolwiek wcześniej.
W naszej klinice leczenie Invisalign® rozpoczyna się od czegoś wyjątkowego - precyzyjnej symulacji 3D planu przesunięcia zębów. Dzięki zaawansowanemu systemowi planowania ClinCheck® możemy dokładnie zaplanować każdy etap terapii i pokazać pacjentowi, jak będzie wyglądał jego uśmiech po zakończeniu leczenia.
Każda osoba, która rozważa leczenie Invisalign® w Stomatologii na Podzamczu, otrzymuje spersonalizowany film 3D, pokazujący:
jak będą przesuwały się zęby w kolejnych etapach,
jak zmieni się linia uśmiechu,
jaki będzie przewidywany efekt końcowy.
To nie jest ogólna wizualizacja. Indywidualny, spersonalizowany plan leczenia, oparty na cyfrowym skanie 3D Twojej jamy ustnej - to standard naszej opieki. Dzięki temu możesz podjąć świadomą decyzję - widzisz, jak będzie wyglądać Twój uśmiech, zanim rozpoczniesz leczenie.
To ogromna przewaga Invisalign® nad tradycyjnymi metodami ortodontycznymi, gdzie efekt końcowy pozostaje niewiadomą aż do zakończenia terapii.
Zobacz, jak działa symulacja leczenia
PAKIET DIAGNOSTYCZNY INVISALIGN® - TERAZ TYLKO 1550 PLN
Rozpoczęcie leczenia ortodontycznego jeszcze nigdy nie było tak proste i tak korzystne.
Dla nowych pacjentów przygotowaliśmy kompleksowy pakiet diagnostyczny w promocyjnej cenie.
Zamiast płacić za każdy etap osobno - otrzymujesz pełną diagnostykę w jednej, obniżonej cenie.

Konsultacja Invisalign®
cena regularna: 350 PLN
Zdjęcie cefalometryczne (CEPH)
cena regularna: 150 PLN
RTG panoramiczne (OPG)
cena regularna: 195 PLN
Cyfrowe skanowanie 3D jamy ustnej
cena regularna: 350 PLN
Tomografia komputerowa CBCT
cena regularna: 590 PLN
Indywidualny plan leczenia Invisalign® (ClinCheck®)
cena regularna: 550 PLN
OSZCZĘDZASZ 635 PLN!
Liczba miejsc objętych ofertą może być ograniczona.
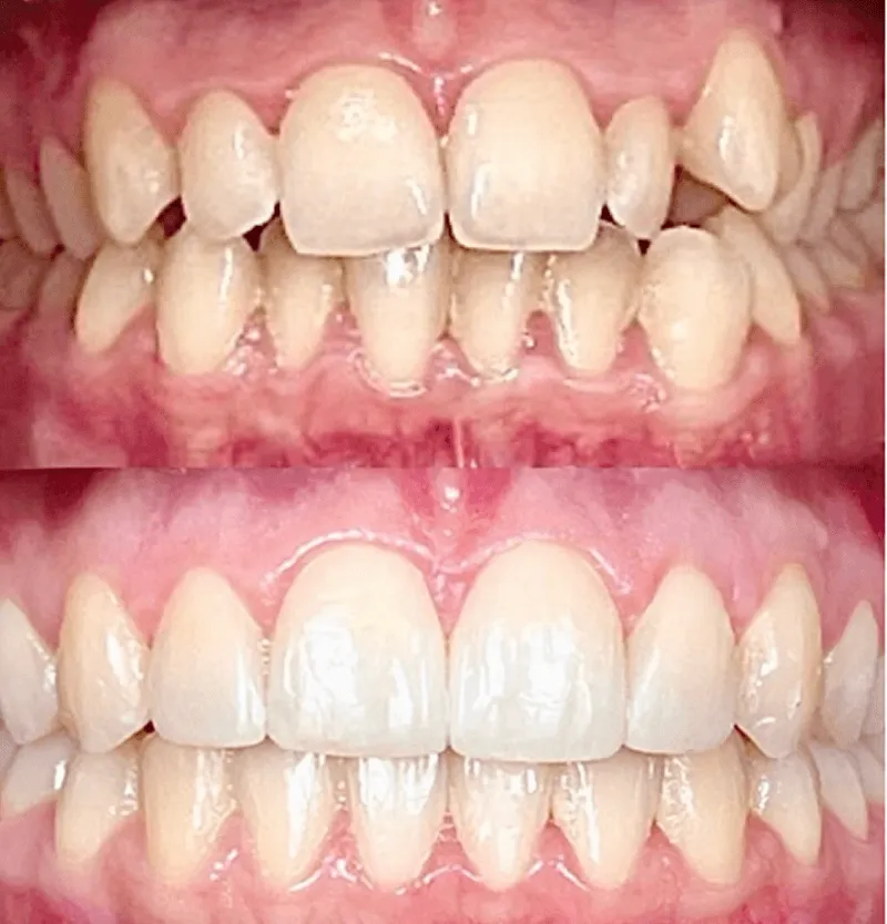
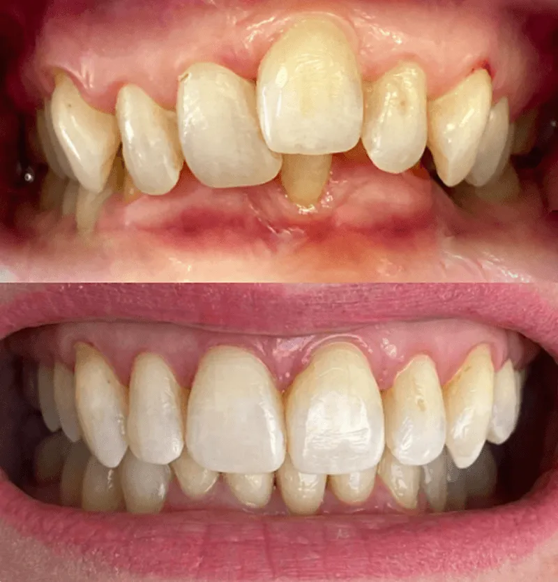
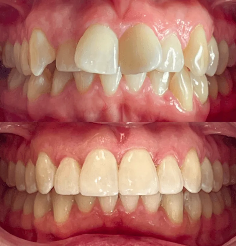
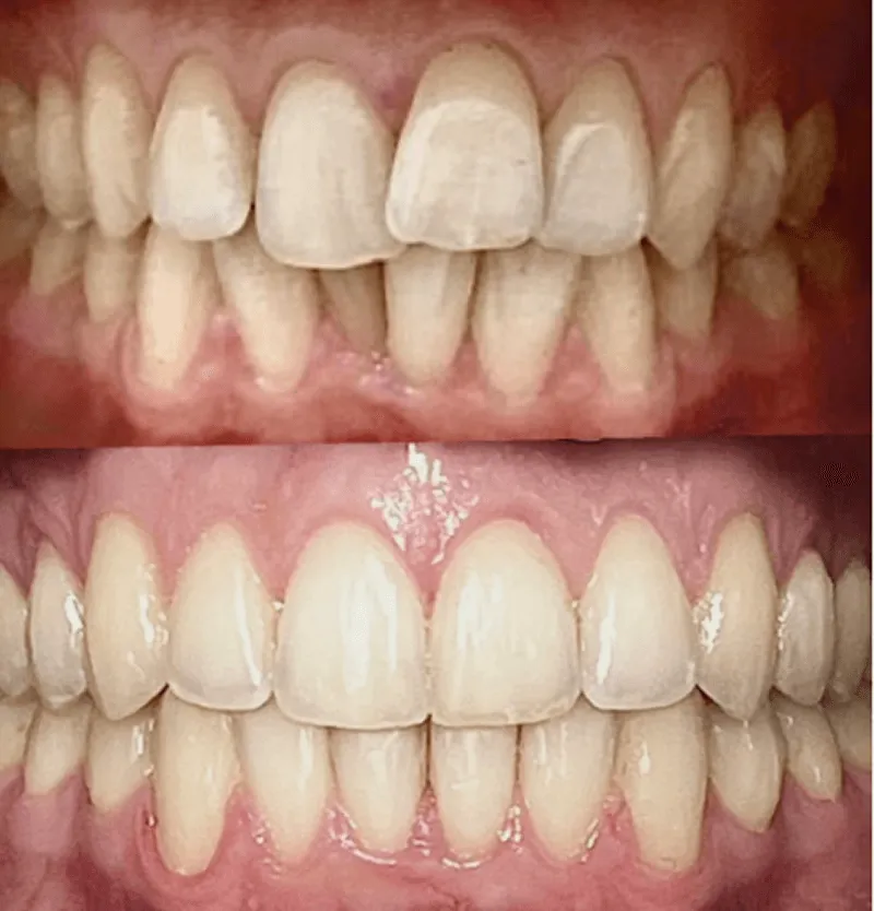
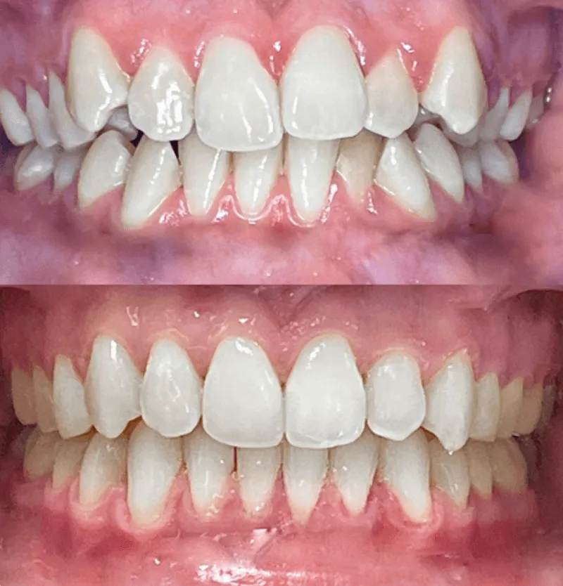
System Invisalign® opiera się na zestawie indywidualnie komputerowo zaprojektowanych nakładek, które delikatnie i stopniowo przesuwają zęby w zaplanowane pozycje. Leczenie rozpoczyna się od cyfrowego skanu 3D jamy ustnej pacjenta oraz specjalistycznej sesji zdjęciowej. Na jego podstawie tworzony jest plan leczenia oraz zestaw alignerów - każda nakładka noszona przez około 10-14 dni wprowadza subtelną, ale kontrolowaną zmianę ustawienia zębów.
Aparat Invisalign® to zestaw dwóch przezroczystych, indywidualnie dopasowanych nakładek, które wykonane są z cienkiego, elastycznego i medycznie bezpiecznego tworzywa o nazwie SmartTrack®, którego cechą jest niemal całkowita niewidoczność - dzięki temu pacjent może prostować zęby bez zakłócania swojego codziennego wizerunku. Nakładki ściśle przylegają do zębów i nie posiadają żadnych metalowych elementów, co przekłada się na wyjątkowy komfort noszenia - bez otarć, odklejania zamków, pęknięć drutów, bez bólu i bez podrażnień. Tym się cechuje nowoczesna ortodoncja.
Każda nakładka jest częścią przemyślanego planu leczenia, a ich regularna, sekwencyjna wymiana pozwala skutecznie przesuwać zęby do prawidłowego ustawienia.
Dodatkowo, dla zwiększenia skuteczności, na powierzchni niektórych zębów lekarz może umieścić tzw. attachmenty - małe wypustki z kompozytu w kolorze zęba, które współpracują z nakładką, umożliwiając precyzyjne ruchy zębów w trudniejszych przypadkach.
Nakładki Invisalign® są lekkie, gładkie i łatwe w utrzymaniu czystości. Można je zdejmować podczas posiłków i szczotkowania zębów, co znacząco wpływa na jakość codziennej higieny jamy ustnej oraz komfort życia (również socjalnego) w czasie całego leczenia.

Oba rozwiązania są skuteczne i prowadzą do podobnych efektów końcowych, jednak sposób, w jaki przebiega leczenie, jest zupełnie inny.
Aparat stały - czyli tradycyjny system z metalowymi zamkami i łukiem - to sprawdzona metoda leczenia nawet bardzo złożonych wad zgryzu. Jednak jego główną wadą jest widoczność i dyskomfort. Druty i zamki mogą powodować podrażnienia błony śluzowej, a codzienna higiena jamy ustnej bywa utrudniona. Aparaty klasyczne, ze względu na możliwość aktywacji jedynie na wizytach kontrolnych wiążą się z wywieraniem skokowo w czasie bardzo dużych sił przesuwających zęby, co powoduje ból oraz może skutkować resorpcjami korzeni zębów. Dodatkowo wiele osób, zwłaszcza dorosłych, unika klasycznych aparatów z powodów estetycznych.
Z kolei Invisalign® to rozwiązanie niemal niewidoczne i znacznie bardziej komfortowe. Przezroczyste nakładki można zdejmować, co ułatwia jedzenie, picie i utrzymanie higieny. W przypadku Invisalign stosowane są mniejsze siły, rozłożone równomiernie w czasie, ponieważ aktywacja następuje podczas zakładania każdej nowej nakładki czyli co 10-14 dni. Powoduje to stopniowy, delikatny nacisk na zęby niwelujący silne bóle i chroniący struktury otaczające ząb przed nadmiernymi przeciążeniami. To doskonały wybór dla osób aktywnych zawodowo, które cenią sobie dyskrecję oraz estetykę leczenia.
Jeśli zależy Ci na estetyce, komforcie i nowoczesnym podejściu do leczenia - Invisalign® może być lepszym wyborem. Natomiast przy bardzo skomplikowanych wadach zgryzu, klasyczny aparat może okazać się koniecznością. Warto to sprawdzić na podstawie badania i diagnostyki 3D - na tej podstawie lekarz prowadzący doradzi najlepszą metodę leczenia dla Twojego przypadku.
Indywidualna symulacja 3D Invisalign® daje Ci pełną świadomość efektu jeszcze przed rozpoczęciem terapii.
Invisalign® to nie tylko modny wybór - to przemyślana inwestycja w zdrowy, piękny uśmiech. W odróżnieniu od klasycznych aparatów, ten system nakładkowy odpowiada na potrzeby współczesnych pacjentów: tych, którzy chcą poprawić swój zgryz bez rezygnowania z komfortu, estetyki i codziennego rytmu życia.

Decydując się na Invisalign®, zyskujesz:
Invisalign® oferuje demonstrację symulacji 3D planu przesunięcia zębów przed podjęciem decyzji o leczeniu.
Nowoczesną technologię opartą na cyfrowym planowaniu i indywidualnym dopasowaniu.
Dyskretne leczenie, które nie przyciąga uwagi otoczenia.
Kontrolę nad procesem - możesz zobaczyć przewidywany efekt końcowy jeszcze przed rozpoczęciem terapii.
Swobodę - zdejmowane nakładki nie ograniczają Twojej diety ani higieny.
Pewność siebie - leczenie nie wpływa negatywnie na wygląd, mowę czy komfort społeczny.
To wybór idealny dla osób aktywnych zawodowo, studentów, nastolatków i wszystkich, którzy cenią komfort, estetykę i skuteczność w jednym. Invisalign® daje więcej niż tylko prostsze zęby - daje swobodę, której nie zapewniają inne systemy ortodontyczne.
Leczenie Invisalign® to proces zaplanowany z chirurgiczną precyzją. Składa się z trzech głównych etapów - od diagnozy, przez aktywne prostowanie zębów, aż po utrwalenie efektów. Każdy z tych kroków odbywa się pod ścisłą kontrolą ortodonty, z zastosowaniem najnowocześniejszych narzędzi diagnostycznych.
Leczenie rozpoczyna się od konsultacji ortodontycznej (koszt: 350 PLN), podczas której lekarz ocenia wady zgryzu i przeprowadza pełną diagnostykę. Obejmuje ona m.in.:
Cyfrowy skan 3D zębów (koszt: 315 PLN),
Fotografię wewnątrzustną i zewnątrzustną,
RTG panoramiczne (OPG) (koszt: 195 PLN),
Telerentgenogram boczny (CEPH) - zdjęcie boczne czaszki (koszt: 155 PLN)
Na podstawie zebranej dokumentacji przygotowywany jest cyfrowy plan leczenia - koszt: 550 PLN. Ten etap pozwala zobaczyć symulację ruchu zębów i przewidywany efekt końcowy jeszcze przed założeniem pierwszej nakładki.
Na tym etapie pacjent otrzymuje zestaw indywidualnych nakładek, wykonanych na podstawie przygotowanego planu leczenia. Po założeniu tzw. attachmentów - niewielkich kompozytowych wypustek w kolorze zęba, pomagających nakładkom kontrolować ruch zębów - rozpoczyna się właściwe leczenie.
Nakładki należy nosić minimum 20 godzin na dobę, zdejmując je jedynie do jedzenia i higieny jamy ustnej. Co 10-14 dni należy je wymieniać na kolejne, zgodnie z harmonogramem i zaleceniami lekarza prowadzącego. Liczba nakładek zależy od wady zgryzu.
Cena zestawu w zależności od ilości nakładek od 7500 PLN do 17000 PLN
Po zakończeniu leczenia aktywnego niezwykle ważne jest utrwalenie uzyskanych rezultatów. Służą temu retainery, czyli przezroczyste nakładki retencyjne, które:
Nosi się przez co najmniej miesiąc ( częściej przez kilka miesięcy, a czasem lat- koszt: 1550 PLN za szczękę
Następnie można zastosować retainer stały - cienki drucik przyklejany od wewnątrz zębów - koszt: 600 PLN za szczękę na zawsze.
Retencja to nieodłączny element leczenia, który zapobiega nawrotowi wady i pozwala cieszyć się pięknym uśmiechem przez długie lata.
Wybór doświadczonego lekarza to podstawa sukcesu w leczeniu Invisalign®. W Szczecinie szczególnie wyróżnia się zespół Stomatologii na Podzamczu - nowoczesnego gabinetu, który łączy wieloletnie doświadczenie z zaawansowaną diagnostyką i indywidualnym podejściem do każdego pacjenta.
Stomatologia na Podzamczu to certyfikowany gabinet Invisalign Provider® w Szczecinie, który oferuje kompleksowe leczenie nakładkowe - od precyzyjnej diagnostyki, przez indywidualny plan leczenia, aż po kontrolę efektów i retencję.
Pacjenci mają tu dostęp do:
nowoczesnych skanerów wewnątrzustnych,
pełnej diagnostyki RTG na miejscu,
opieki ortodonty z doświadczeniem w leczeniu metodą Invisalign®,
profesjonalnego, zdalnego wsparcia zespołu lekarzy specjalistów na każdym etapie leczenia.

Zespół Stomatologii na Podzamczu przystąpił do prestiżowego programu Falkowski Network - ogólnopolski system leczenia alignerowego nadzorowany przez dr. n. med. Mateusza Falkowskiego - certyfikowanego lekarza Invisalign® o najwyższym poziomie kompetencji (Top 1% Invisalign Provider - Diamond Apex, czyli 1% najlepszych specjalistów INVISALIGN na świecie).
Oznacza to stałą superwizję merytoryczną świadczoną przez zespół certyfikowanego trenera Invisalign®.
Dzięki tej ustandaryzowanej współpracy możemy zagwarantować, że:
każdy przypadek kliniczny jest konsultowany z ekspertem o najwyższych kwalifikacjach, co podnosi poziom bezpieczeństwa i skuteczności terapii
pacjenci zyskują podwójne wsparcie - swojego ortodonty prowadzącego oraz eksperta-superwizora, który czuwa nad prawidłowym przebiegiem leczenia
możliwa jest optymalizacja leczenia trudniejszych przypadków, które wcześniej mogłyby zostać wykluczone z terapii alignerowej.
Poziom leczenia nakładkowego, który wcześniej był dostępny głównie w dużych ośrodkach klinicznych, teraz również w Szczecinie - w Stomatologii na Podzamczu.
Opinie pacjentów mówią same za siebie. Osoby, które zakończyły leczenie, najczęściej podkreślają:
komfort noszenia nakładek - „praktycznie zapomniałam, że je mam”,
szybkie efekty - „już po kilku tygodniach widziałem różnicę”,
doskonałą opiekę - „każda wizyta przebiegała spokojnie i profesjonalnie”,
pełną dyskrecję - „nikt nie zauważył, że prostuję zęby”.
Leczenie Invisalign® w Stomatologii na Podzamczu to doświadczenie, które daje realne efekty - nie tylko wizualne, ale i emocjonalne: większa pewność siebie, lepszy komfort życia i uśmiech bez kompleksów.
Początki Invisalign® sięgają 1997 roku, kiedy to dwóch studentów Uniwersytetu Stanforda - opracowało innowacyjny pomysł prostowania zębów bez użycia metalowego aparatu. Ich celem było stworzenie systemu, który będzie skuteczny jak tradycyjna ortodoncja, ale znacznie bardziej komfortowy i estetyczny.
W 1999 roku firma Align Technology oficjalnie wprowadziła Invisalign® na rynek amerykański. Od tego czasu technologia przeszła ogromną ewolucję - od prostych przypadków ortodontycznych po pełne leczenie złożonych wad zgryzu. Dziś Invisalign® to ponad 21 milionów uśmiechów na świecie, wsparcie sztucznej inteligencji, planowanie 3D, nowoczesne skanery i materiał SmartTrack®, który gwarantuje przewidywalny i skuteczny ruch zębów.
System stale się rozwija - dzięki ogromnym inwestycjom w badania i rozwój oraz współpracy z ortodontami z całego świata, Invisalign® jest dziś jednym z najbardziej zaawansowanych rozwiązań ortodontycznych na rynku.

FAQ
Dzięki Invisalign® wyprostowano już ponad 21 milionów uśmiechów na całym świecie - i każdego dnia dołączają kolejne. W Stomatologii na Podzamczu możesz być jednym z nich.
PAKIET DIAGNOSTYCZNY INVISALIGN (dla nowych pacjentów) oszczędność - 635 PLN!!
(zawartość o łącznej wartości 2185 PLN - lista poniżej)
1550 zł
Konsultacja Invisalign® - 350 PLN
Skanowanie 3D jamy ustnej - 350 PLN
RTG panoramiczne (OPG) - 195 PLN
RTG boczne czaszki (CEPH) - 150 PLN
Tomografia CBCT - 590 PLN
Cyfrowy plan leczenia (ClinCheck®) - 550 PLN
Plan leczenia INVISALIGN
INVISALIGN EXPRESS — do 7 nakładek
7500 zł
INVISALIGN LITE — do 14 nakładek
12000 zł
INVISALIGN MODERATE — do 20 nakładek
15000 zł
INVISALIGN COMPREHENSIVE — nieograniczona ilość nakładek
17000 zł
Retainery — nakładki dla jednej szczęki / dwóch szczęk
1000 / 1550 zł
Retainer stały dla jednej szczęki
600 zł